Vitamin D is receiving a lot of media attention as a major health determinant. But it it really that important? Let’s find out.
What is Vitamin D?
Vitamin D is a fat-soluble vitamin and hormone, which has two major forms- Vitamin D2 (Ergo-calciferol) from vegetarian sources and Vitamin D3 (Cholecalcifeol) from non-vegetarian sources and skin production after sunlight exposure.
What is its role in Bone health and growth?
Vitamin D helps in intestinal absorption of calcium, and it regulates the metabolism of Calcium and Phosphorus, minerals required for formation of strong bones. This role in skeletal or bone health is the most well-documented function of Vitamin D.
What are Vitamin D’s extra-skeletal effects on health?
Apart from skeletal health, Vitamin D plays important roles in multiple systems. These roles are receiving increasing attention of medical researchers and clinicians.
Vitamin D and its role in immunity
- Vitamin D plays a vital role in keeping the immune system, especially the cellular immunity active.
- It is important for protecting against various bacterial and viral infections like upper respiratory infections, pneumonia, ear infections and flus.
- It has some role in preventing autoimmune diseases like multiple sclerosis, rheumatoid arthritis, Crohn’s diseases, diabetes mellitus.
- It also protects against allergic illnesses like eczema and asthma.
Vitamin D as an Anti-Cancer vitamin
It offers protection against various cancers affecting breast, ovaries, colon and pancreas; and also, against the Hodgkin- Non-Hodgkin lymphomas.
Vitamin D as a protector against pain
Some role in preventing muscular pain, fibromyalgia, chronic pain syndromes, migraine and pain in sickle cell disease
Vitamin D in Mental health
Vitamin D plays an important role in early brain development and areas like learning, memory, motor control, social behaviour and attention. It offers protection against autism, schizophrenia, depression.
Vitamin D in pregnancy and maternal health
Vitamin D protects against pre-eclampsia, gestational diabetes, prematurity, SGA
Vitamin D and Cardiovascular health
Vitamin D has protective value against cardiovascular disease, stroke and hypertension.
From where do we get Vitamin D?
The dietary sources are limited. Fatty fish like salmon, sardines, mackerels; cod-liver oil; organ meats; egg yolk and certain type of mushrooms (Shittaki). The breast milk has inadequate quantity. Fortified foods (infant formulae, milk, fruit juice) add vitamin D in their composition.
The human body can naturally produce Vitamin D when UVB rays from sunlight interact with a chemical in the skin and turn it into Vitamin D3. This is carried to liver where an inactive form of Vitamin D3 (25 OH-D3) is made, which is activated to active form 1,25 OH-D3 mainly in kidneys.
UVB rays are most abundant between 10 am- 3 pm.
What causes vitamin D deficiency?
In practice, 25-50% population is found to be deficient in Vitamin D.
The common causes for this are:
- Lack of sun-exposure (high altitudes, living north or south of 33* latitude, urban areas, pollution, indoor stay, covering clothes, sunblock, dark skin pigment)
- Inadequate or faulty diet
- Malabsorption (Cystic fibrosis, Crohn’s disease)
- Chronic liver or kidney disease
- Medications (anti-epileptic meds like phenytoin, phenobarbitone, carbamazepine and valproate; steroids, antifungal medicines; HIV anti-retroviral meds)
What happens in Vitamin D-deficiency?
When Vitamin D is deficient, then first the calcium level in the serum starts to go down (Hypocalcemia) and that can cause serious consequences like seizures or fits, especially in growing ages like infancy and adolescence.
Then the body starts to compensate for this low calcium by utilizing calcium from the bones. In the growing bones this demineralization leads to rickets, and in adults, it causes osteomalacia. In both these conditions, the bones start to become softer and weaker.
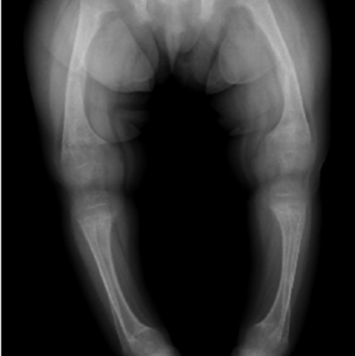
Children with rickets show various bone deformities like flaring of wrists and ankles, frontal bossing or prominence of front skull bones, bowlegs and bead-like swellings on ribs. Severe rickets can lead to easy fractures and even stunted growth.
The extra-skeletal effects of Vitamin D deficiency are now receiving medical attention and they can affect multiple important body systems.
How do we diagnose Vitamin D deficiency?
Checking 25-OH Vitamin D3 level is the best way the Vitamin D deficiency is diagnosed.
The exact levels differ as per different expert bodies, but generally 25-OH D3 level
- Less than 20 ng/ml – Deficient
- Between 20- 30 ng/ml – Insufficient
- More 30 ng/ml – Sufficient
- 40-70 ng/ml – Ideal
- 100 ng/ml – Max. normal upper limit
- >150 ng/ml – Toxicity
How do we prevent and treat Vitamin D deficiency?
For prevention: 400 IU of Vit.D3
For treatment:
Up to 1 month: 1000 IU/day for 2-3 months
From 1-12 months: 1000- 5000 IU/day for 2-3 months
From 1-18 years: 5000 IU/day for 2-3 months
In Adults: 50000 IU every 4 weeks for 2- 3 months or 2000-5000 IU/day for 2-3 months
For best results, Vitamin D supplements should be taken along with food containing fat.
Final Verdict:
It is very clear that Vitamin D is very important for our overall health!

